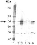
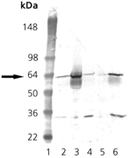
The polo-like kinases (PLKs) function in cell-cycle progression and in multiple stages of mitosis. PLK1 is activated by phosphorylation of Thr210 at the G2/M phase boundary. Active PLK1 participates in mitotic entry through activation of Cdc25C and nuclear import of cyclin B1, thereby activating the Cdc2/cyclin B kinase.
Shipping: Available products typically ship within 24/48h, via priority shipping.
Do you need support? Contact Customer Service or Technical Support.
Online Account
Access or Create Your Account
This antibody is covered by our Worry-Free Guarantee.
| Regulatory Status |
RUO – Research Use Only |
|---|
Last modified: May 29, 2024
Lab Essentials
AMPIVIEW® RNA probes
Enabling Your Projects
GMP Services
Bulk Solutions
Research Travel Grant
Have You Published Using an Enzo Product?
