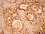
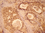
MEK is a dual specificity kinase capable of phosphorylating both tyrosine and threonine residues. The MEK family, which is also known as MAP kinase kinase, phosphorylates MAP kinases on the conserved T-X-Y motif; phosphorylation of MAPK by MEK results in an increase in MAPK activity. MEK is involved in a diverse array of cellular processes such as stress-activated response, apoptosis, cytokine-induced cell proliferation, and DNA recombination during meiosis.
Shipping: Available products typically ship within 24/48h, via priority shipping.
Do you need support? Contact Customer Service or Technical Support.
Online Account
Access or Create Your Account
This antibody is covered by our Worry-Free Guarantee.
| Regulatory Status |
RUO – Research Use Only |
|---|
Last modified: May 29, 2024
Lab Essentials
AMPIVIEW® RNA probes
Enabling Your Projects
GMP Services
Bulk Solutions
Research Travel Grant
Have You Published Using an Enzo Product?
