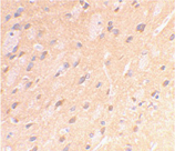
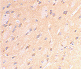
Deposition of APP (Amyloid A4 protein) precursor intraneuronally as neurofibrillary tangles, extracellularly as plaques, and in blood vessels, is characteristic of both Alzheimer’s disease and aged Down’s Syndrome. There are five forms of APP: APP395, APP563, APP695, APP751, and APP770. They are produced by alternative splicing of the APP gene. APP695 is the most predominant form in neuronal tissue while APP751 is the predominant form found elsewhere.
Shipping: Available products typically ship within 24/48h, via priority shipping.
Do you need support? Contact Customer Service or Technical Support.
Online Account
Access or Create Your Account
This antibody is covered by our Worry-Free Guarantee.
| Regulatory Status |
RUO – Research Use Only |
|---|
Last modified: May 29, 2024
Lab Essentials
AMPIVIEW® RNA probes
Enabling Your Projects
GMP Services
Bulk Solutions
Research Travel Grant
Have You Published Using an Enzo Product?
