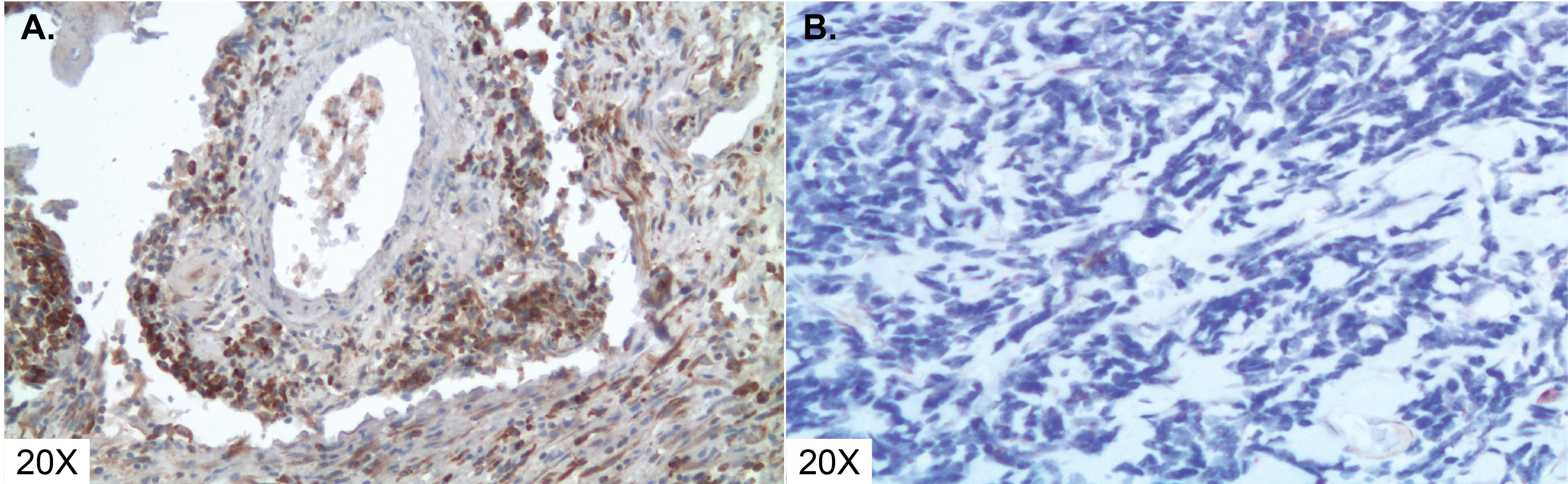
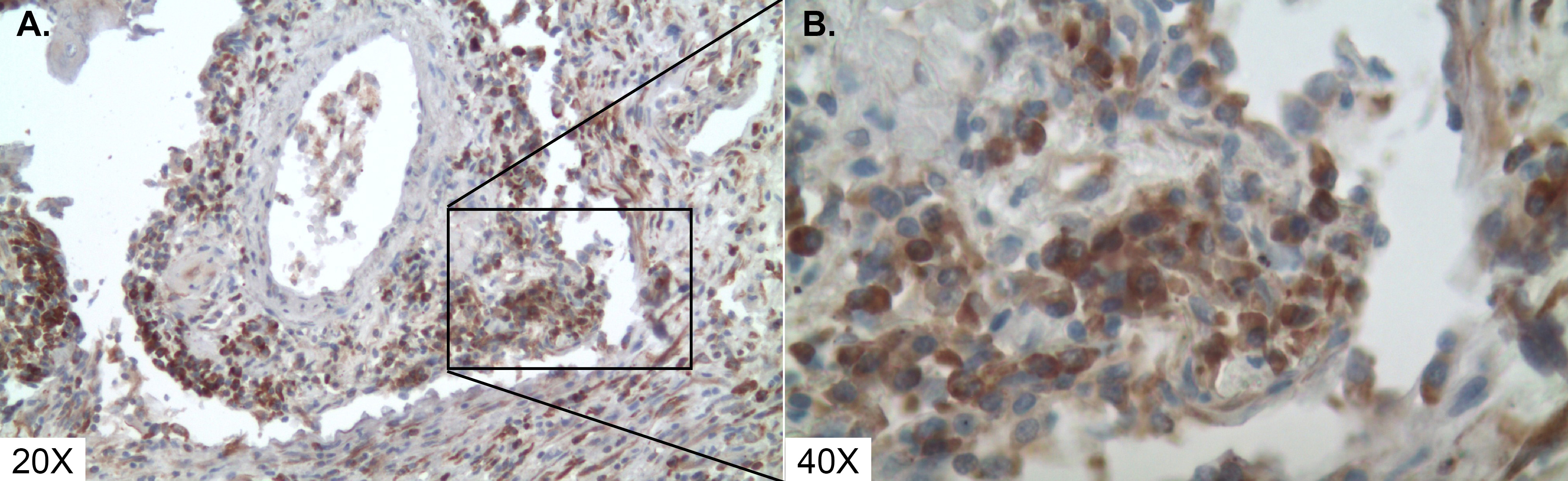
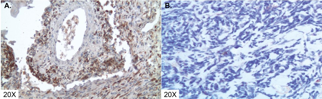
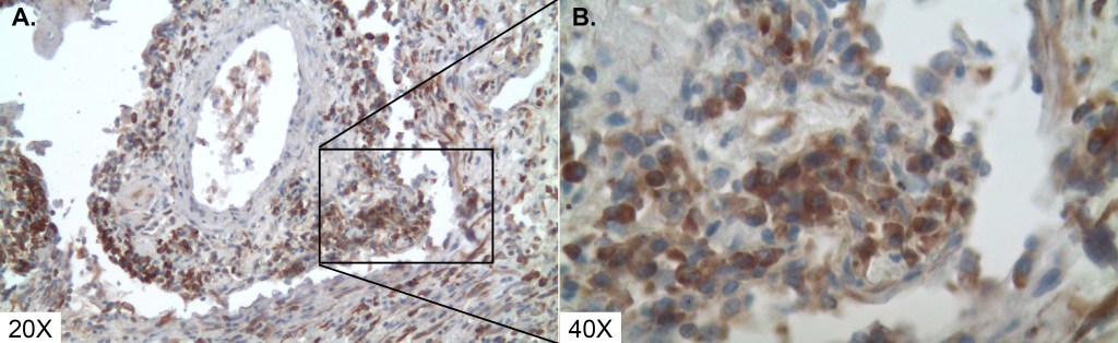
AMPIVIEW® RNA probes are uniquely designed with the precision of targeted, sequence-specific RNA probes, powered by Enzo’s LoopRNA™ ISH technology to deliver superior sensitivity. AMPIVIEW® PD-L1 (AS) Dig RNA Probes are digoxigenin-labeled probes targeting Human PD-L1 for in situ hybridization. The probes are formulated in a buffered formamide solution with hybridization enhancers.
Shipping: Available products typically ship within 24/48h, via priority shipping.
Do you need support? Contact Customer Service or Technical Support.
Online Account
Access or Create Your Account
| Regulatory Status |
RUO – Research Use Only |
|---|
Last modified: September 30, 2025
Lab Essentials
AMPIVIEW® RNA probes
Enabling Your Projects
GMP Services
Bulk Solutions
Research Travel Grant
Have You Published Using an Enzo Product?
