Shipping: Available products typically ship within 24/48h, via priority shipping.
Do you need support? Contact Customer Service or Technical Support.
Online Account
Access or Create Your Account
This antibody is covered by our Worry-Free Guarantee.

Flow cytometry testing of human MCF7 cells with Vegf receptor 2 antibody at 1µg/million cells (blocked with goat sera); Red=cells alone, Green=isotype control, Blue= Vegf receptor 2 antibody.

Flow cytometry testing of human LLC1 cells with Vegf receptor 2 antibody at 1µg/million cells (blocked with goat sera); Red=cells alone, Green=isotype control, Blue= Vegf receptor 2 antibody.

Immunofluorescent staining of FFPE human NIH 3T3 cells with Vegf receptor 2 antibody (red) and DAPI nuclear stain (blue). HIER: steam section in pH6 citrate buffer for 20 min.

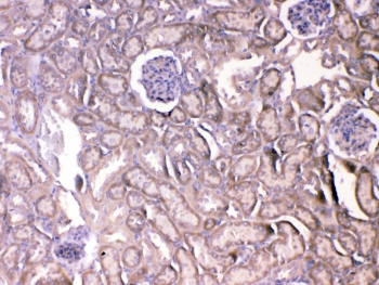
IHC testing of FFPE rat kidney tissue with Vegf receptor 2 antibody at 1µg/ml. Required HIER: steam section in pH6 citrate buffer for 20 min and allow to cool prior to testing.







Product Details
Alternative Name |
Vascular endothelial growth factor receptor 2, Kdr, FLK-1, Fetal liver kinase 1, CD309 |
---|---|
Application |
Flow Cytometry, IF, IHC (PS), WB |
Formulation |
Lyophilized from 1X PBS containing 2% Trehalose and 0.025% sodium azide. |
Host |
Rabbit |
Immunogen |
Recombinant mouse VEGFR-2 (aa 20-244). |
Isotype |
IgG |
Purity Detail |
Antigen affinity purified. |
Recommendation Dilutions/Conditions |
Flow Cytometry (1-3µg/million cells)Immunofluorescence (FFPE) (2-4µg/ml)Immunohistochemistry (FFPE) (1-2µg/ml)Western blot (0.5-1µg/ml)Suggested dilutions/conditions may not be available for all applications.Optimal conditions must be determined individually for each application. |
Species Reactivity |
Mouse, Rat |
UniProt ID |
P35918 |
Worry-free Guarantee |
This antibody is covered by our Worry-Free Guarantee. |
Handling & Storage
Use/Stability |
After reconstitution, the Tissue Factor antibody can be stored for up to one month at +4°C. |
---|---|
Handling |
Avoid freeze/thaw cycles. |
Long Term Storage |
-20°C |
Shipping |
Blue Ice |
Regulatory Status |
RUO – Research Use Only |
---|
Related Products

Application | ELISA, IF |
---|---|
Host | Mouse |
Isotype | IgM |

Application | IHC, IP, WB |
---|---|
Host | Rabbit |
Species Reactivity | Chicken, Invertebrate, Mammalian, Plant, Yeast |

Alternative Name | Stratifin |
---|---|
Application | ELISA, IHC, WB |
Host | Rabbit |
Species Reactivity | Human |

Application | ELISA, IHC, WB |
---|---|
Host | Rabbit |
Species Reactivity | Human |
Last modified: July 12, 2024
Datasheet, Manuals, SDS & CofA
Manuals And Inserts
Certificate of Analysis
Please enter the lot number as featured on the product label
SDS
Enzo Life Science provides GHS Compliant SDS
If your language is not available please fill out the SDS request form