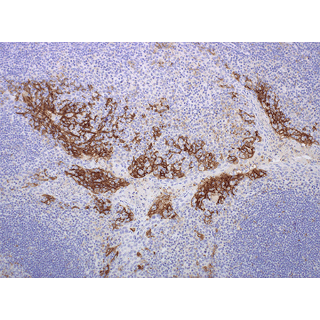
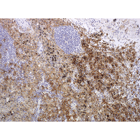
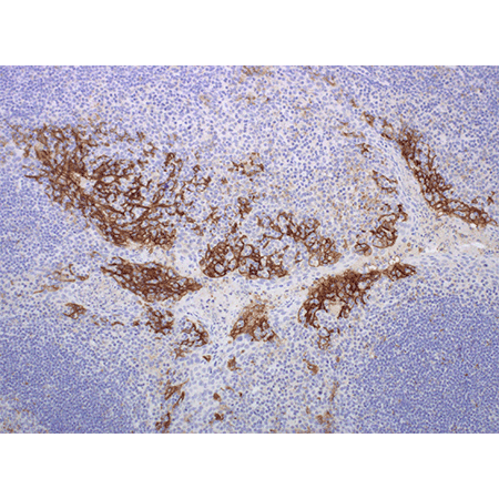
PD-L1, also known as B7-H1 and CD274, is a 290 amino acid transmembrane glycoprotein in the B7 family of immune regulatory molecules. It has an extracellular domain that can interact with PD-1, which belongs to the CD28/CTLA4 family expressed on activated lymphoid cells. The PD1/PD-L1 interaction ensures that activation of the immune system occurs at the appropriate time. This will minimize the possibility of chronic autoimmune inflammation. PD-L1 is known to inhibit proliferation of T cells via apoptosis. It also plays an important role in arresting cell-cycle progression. This makes PD-L1 an attractive therapeutic target for cancer and immunologic diseases.
Shipping: Available products typically ship within 24/48h, via priority shipping.
Do you need support? Contact Customer Service or Technical Support.
Online Account
Access or Create Your Account
This antibody is covered by our Worry-Free Guarantee.
| Regulatory Status |
RUO – Research Use Only |
|---|
Last modified: May 29, 2024
Lab Essentials
AMPIVIEW® RNA probes
Enabling Your Projects
GMP Services
Bulk Solutions
Research Travel Grant
Have You Published Using an Enzo Product?
