Protein Detection
Illuminate the Proteome Within Tissues
Protein detection is central to spatial biology, offering vital insight into expression patterns and tissue architecture within their native context. Enzo supports this with an integrated portfolio of high-quality antibodies and detection reagents—including over 900 antibodies optimized for IHC, IF, and multiplexed spatial workflows—many highly cited in neuroscience, cancer, and immunology research. Our solutions deliver the sensitivity, specificity, and flexibility needed to power advanced spatial genomics and transcriptomics applications.
Monoclonal, polyclonal, and recombinant antibodies tailored for IHC and IF, enabling reliable protein detection in FFPE and fresh-frozen tissues
Validated across multiple spatial biology applications, including multiplex IHC-IHC, ISH-IHC, and co-detection with RNA
Backed by Enzo’s Worry-Free Guarantee to ensure consistency, reproducibility, and confidence in every experiment
Antibodies

Step-by-step overview of IHC using chromogenic detection. The process begins with the binding of a primary antibody to the target antigen in tissue. A detection reagent, typically an enzyme-linked secondary antibody, is then applied. Upon addition of a chromogenic substrate, a visible color develops at the antigen site. The tissue is counterstained and coverslipped, followed by imaging under a microscope for analysis
Antigen Retrieval Reagent, pH 6 (10X)
POLYVIEW® PLUS AP (anti-mouse) Reagent
POLYVIEW® PLUS HRP (anti-mouse) Reagent
POLYVIEW® PLUS AP (anti-rabbit) Reagent
POLYVIEW® PLUS HRP (anti-rabbit) Reagent
HIGHDEF® PLUS Red AP Chromogen Kit
HIGHDEF® Green AP Chromogen/Substrate Set
HIGHDEF® Blue IHC Chromogen (AP)
HIGHDEF® DAB Chromogen/Substrate Set
HIGHDEF® Yellow IHC Chromogen (HRP)
HIGHDEF® Hematoxylin
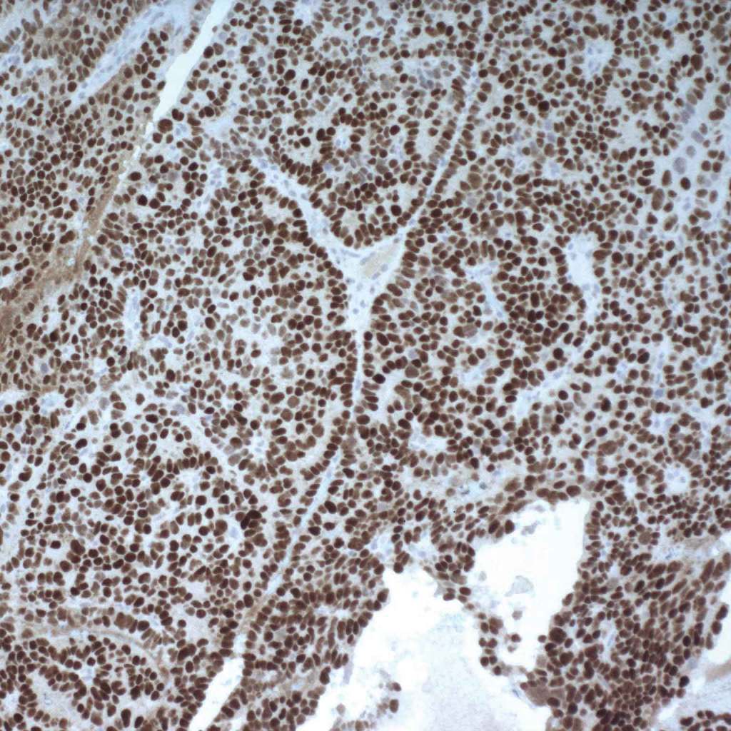
Highly Sensitive and Specific Detection of p53 Protein in Tissue

p53 (brown) detection endometrial carcinoma with p53 monoclonal antibody (PAb122) (ADI-KAM-CC002).
Highly Sensitive and Specific Detection of Vimentin in Tissue

Fluorescent detection of vimentin (aqua) in cervical cancer tissue with Vimentin mAb (ENZ-ABS694). DAPI was used as a nuclear marker.
Antibody Search
Browse Antibody
Singleplex Detection of Bassoon to Monitor Synaptic Health



Fluorescent detection of A. Bassoon (green) with Bassoon monoclonal antibody (ENZ-ABS666) and B. nuclear marker with DAPI (blue). C. Merged image reveals the spatial localization of Basson in the brain.
Duplex Detection of Ki67 and CD44 to Monitor Immune Activation




Fluorescent detection of A. Ki67 (red) with Ki-67 monoclonal antibody (ENZ-ABS1082) and B. CD44 with CD44 (human) monoclonal antibody (ALX-801-089), C. nucleus stained with DAPI (blue). D. Merged image reveals the spatial localization of Ki67 and CD44 in relation to the nucleus in tonsil tissue.
Featured Antibodies
Multiplex Detection of Lung Cancer Phenotypic Markers

Paraffin-embedded tissue sections were stained and mounted with phenotypic markers helpful in diagnosing lung cancers. These include CK5/6 (red), Napsin A (yellow), p63 (black), and TTF1 (green) (Sethi et al., 2012). (A) This image exemplifies the utility of this multiplex process in the spatial organization of these targets. Additionally, the co-localization advantages of this process are observable at higher magnification. (B) This image clearly shows cells with co-expression of Napsin A in the cytoplasm (yellow) and TTF-1 in the nucleus (green). Antibodies have been detected with POLYVIEW® PLUS reagents (ENZ-ACC103 and ENZ-KIT181) combined with corresponding HIGHDEF® Chromogen: Yellow HRP (ADI-950-170), Red HRP (ADI-950-210), black HRP (ADI-950-171) and green AP (ENZ-ACC130), Pictures courtesy of Dr. Renaud Burrer, Histalim, France.
Multiplex Detection of Tumor Heterogeneity, EMT, and Metastasis





A. BAX (yellow), B. CD138 (red), C. Cyclin D1 (green) and D. Vimentin (aqua) detected in cervical cancer tissue with BAX mAb (ENZ-ABS754), CD138 mAb (ENZ-ABS683), Cyclin D1 mAb (ADI-KAM-CC200) and Vimentin mAb (ENZ-ABS694). E. Merged image shows spatial localization of each protein. DAPI (blue) was used as a nuclear marker. Co-detection of BAX (apoptotic regions), CD138 (epithelial areas), Cyclin D (proliferative zones) and Vimentin (invasive fronts) reveals spatial heterogeneity.
Lab Essentials
AMPIVIEW® RNA probes
Enabling Your Projects
GMP Services
Bulk Solutions
Research Travel Grant
Have You Published Using an Enzo Product?